Cjenik:

Što mi treba za mog zubara?

Vaš zubar (u daljnjem tekstu doktor dentalne medicine) vjerojatno traži precizne snimke zuba kako bi postavio točnu dijagnozu i planirao najbolju terapiju. U Apex Dental centru u Zadru nudimo vrhunske RTG snimke koje pomažu vašem doktoru dentalne medicine u pružanju vrhunske skrbi:

  • Intraoralne RVG snimke: Za detaljnu dijagnostiku pojedinačnih zuba, idealne za otkrivanje karijesa ili problema s korijenom.

  • Bite Wing snimke: Pokazuju krune zuba i pomažu u otkrivanju međuzubnog karijesa.

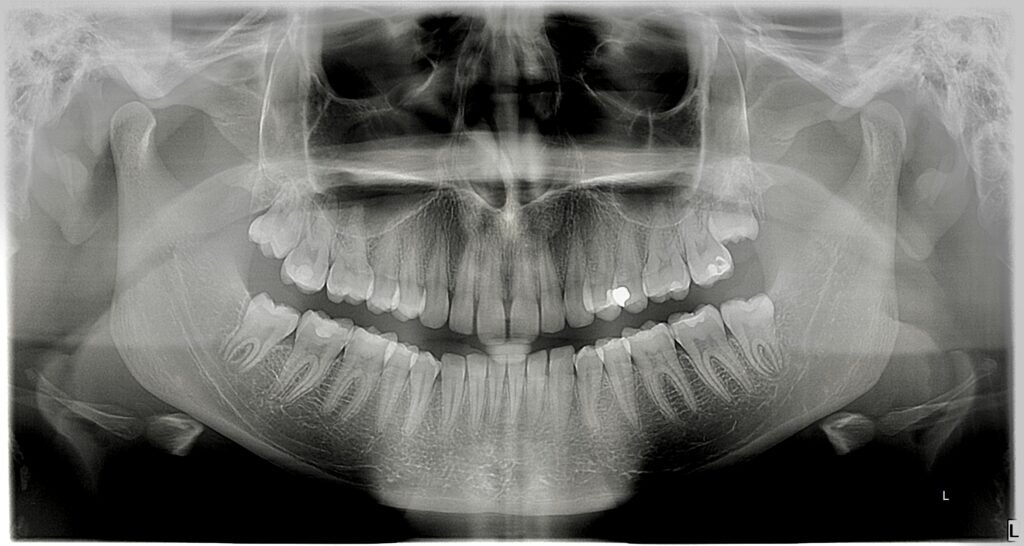
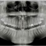
  • Ortopantomogram (panoramska snimka): Cjelovit prikaz čeljusti i zuba, potreban za prvi pregled, vađenje zuba kod oralnog kirurga, za ortodonciju i čitav niz ostalih stanja i bolesti zubi i usne šupljine te se smatra najčešćom snimkom digitalne zubne dijagnostike. Ortopan snimka u svakodnevnoj praksi među doktorima dentalne medicine je sinonim za ZUBNI RENDGEN

  • Kraniogram: Snimka lubanje za planiranje ortodontskih tretmana.

  • Snimka maxilarnih sinusa: Pomaže u dijagnostici stanja povezanih sa sinusima i zubima.

  • Snimka temporomandibularnih zglobova (TMJ): Za procjenu problema s čeljusti, poput bolova ili pucketanja.

  • 3D CBCT snimka: Napredna trodimenzionalna snimka za složene zahvate, poput ugradnje implantata.

Kako se pripremiti?

  • Donijeti uputnicu od doktora dentalne medicine, ako je imate (nije uvijek potrebna).

  • Obavijestite nas o eventualnim zdravstvenim stanjima (npr. trudnoća OBAVEZNO jer trudnicama nije dozvoljeno snimati).

  • Proces je brz, bezbolan i siguran, uz minimalnu izloženost zračenju.

Naknadno slanje snimki: Ako izgubite snimku ili promijenite doktora dentalne medicine, ili jednostavno želite zatražiti drugo mišljenje te želite da Vašu snimku pošaljemo i na drugu adresu, možete nam poslati zahtjev putem kontakt polja naše web stranice ili e-maila, a mi ćemo vam sigurno poslati kopiju vaših snimki.

Zakazivanje termina u Apex Dental centru Zadar nije potrebno stoga slobodno dođite u radnom vremenu i osigurajte svom doktoru dentalne medicine najbolju podlogu za vaš savršen osmijeh!

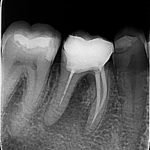
Intraoralne RVG snimke

Intraoralna RVG snimka zuba, jako se često radi kad je riječ o popravku jednog zuba.Vrlo je praktična jer se na njoj vide tri ili četiri zuba.

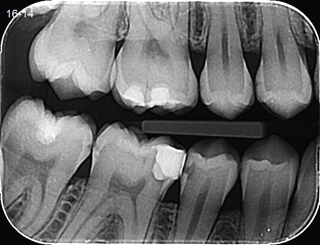
Što su to Bitewing snimke i zašto služe?

Bitewing snimke (ili retroalveolarne snimke) su vrsta dentalnih rendgenskih snimaka koji se koriste u stomatologiji za dijagnostiku problema s zubima i okolnim tkivima. Naziv “bitewing” dolazi od toga što pacijent prilikom snimanja grize mali držač (krilce) koji drži rendgenski film ili senzor na mjestu.

Ključne informacije o bitewing snimkama:

  1. Svrha snimke:
    • Dijagnostika karijesa: Bitewing snimke omogućuju otkrivanje karijesa između zuba (interproksimalni karijes) koji se ne vidi golim okom.
    • Procjena stanja ispuna: Pomažu u provjeri kvalitete i stanja postojećih ispuna.
    • Otkrivanje promjena na kosti: Mogu pokazati gubitak kosti oko zuba, što je često povezano s parodontalnim bolestima.
    • Pregled kruna zuba: Prikazuju strukturu zuba iznad linije desni.
  2. Kako se izvode:
    • Pacijent grize plastični ili papirnati držač koji drži rendgenski film ili digitalni senzor.
    • Snimka obuhvaća krune gornjih i donjih zuba jedne strane usta, obično lijeve ili desne.
    • Snimanje traje nekoliko sekundi i bezbolno je.
  3. Prednosti:
    • Preciznost: Jasno prikazuju detalje između zuba gdje karijes često počinje.
    • Niska doza zračenja: Bitewing snimke koriste vrlo nisku razinu rendgenskog zračenja, što ih čini sigurnima za većinu pacijenata.
    • Brzina: Snimanje je brzo, a digitalne snimke omogućuju trenutni prikaz rezultata.
  4. Kada se koriste:
    • Redoviti stomatološki pregledi (obično svakih 6-12 mjeseci, ovisno o riziku za karijes).
    • Kod sumnje na karijes, oštećenja ispuna ili parodontalne probleme.
    • Za djecu i adolescente često se koriste za praćenje razvoja zuba.
  5. Razlika od drugih snimaka:
    • Za razliku od panoramskih snimaka (koji prikazuju cijelu čeljust), bitewing snimke fokusiraju se na manji dio usta i pružaju detaljniji prikaz zuba i međuzubnih prostora.
    • U usporedbi s periapikalnim snimkama (koje pokazuju cijeli zub, uključujući korijen), bitewing snimke prikazuju samo krune i dio korijena.
  6. Sigurnost:
    • Doza zračenja kod bitewing snimaka izuzetno je niska, a moderne digitalne tehnologije dodatno smanjuju izloženost zračenju.
    • Trudnice bi trebale obavijestiti stomatologa prije snimanja jer se rendgenski snimci izbjegavaju tijekom trudnoće osim ako nisu apsolutno nužni.

Zaključak:

Bitewing snimke su ključni alat u preventivnoj i dijagnostičkoj stomatologiji jer omogućuju rano otkrivanje problema poput karijesa ili parodontalnih bolesti. Ako imate dodatna pitanja o postupku ili želite informacije o drugim vrstama dentalnih snimaka (npr. 3D CBCT), slobodno pitajte!

Primjer bitewing snimke

Novosti i zanimljivosti

Koliko je zračenja u jednom ortopanu?

  • Efektivna doza zračenja: Tipično se kreće između 5,5 i 22 mikro-Sieverta (µSv), što odgovara otprilike 1–5 dana prirodnog pozadinskog zračenja(dakle najnormalnijeg boravka na otvorenom).
  • U poređenju sa drugim rendgenskim snimcima:
    • Bitewing (mali rendgenski snimak): oko 0,005 mSv (1 dan pozadinskog zračenja).
    • CT skener: oko 2 mSv (1 godina pozadinskog zračenja).

Praktične informacije

  • Trajanje procedure: Snimanje traje oko 12–20 sekundi, tokom kojih se X-ray aparat rotira oko glave pacijenta.
  • Zaštita pacijenta: Obično se koristi olovni prsluk kako bi se dodatno smanjila izloženost zračenju.
  • Sigurnost: Zračenje u ortopanu je mnogo niže nego kod CT skenera ili medicinskih rendgenskih snimaka, poput rendgena grudnog koša, koji ima dozu od 0,02 mSv.

Zaključak

Ortopan pruža detaljan pregled dentalnih i maksilofacijalnih struktura uz minimalnu izloženost zračenju. Efektivna doza je niska i ne predstavlja značajan rizik za zdravlje.

Primjer jednog ortopana

Imam 3d snimku i ne mogu je otvoriti

3D CBCT snimke koje izrađujemo u Apex Dental Zadru primarno su namijenjene vašem doktoru dentalne medicine kako bi postavio točnu dijagnostiku i planirao najbolju terapiju, poput ugradnje implantata ili složenih zahvata. Ako Vas je doktor dentalne medicine uputio na 3D snimanje, to znači da koristi najnoviju tehnologiju za precizniji pregled vaših zuba, čeljusti ili sinusa, što je Vaša prednost jer osigurava vrhunsku njegu. Snimka nije namijenjena da je sami analizirate, već da Vaš doktor dentalne medicine iskoristi njegovu stručnost za vaš najbolji osmijeh.

  • Proslijedite snimku Vašem doktoru dentalne medicine: Preporučujemo da snimku (isporučenu putem Smash servisa) pošaljete svom doktoru dentalne medicine. On koristi specijalizirani softver za pregled DICOM datoteka.

  • Ako želite pregledati snimku: Pogledajte upute na stranici Za profesionalce

  • Istekli Smash link: Ako je poveznica istekla, pošaljite zahtjev putem obrasca na stranici Kontakt ili e-mailom na [apex.dentalrtg@gmail.com], navodeći svoje ime i prezime, broj mobitela te vrstu slike i okvirni datum snimanja. Novi link šaljemo WeTransferom u roku od 24 sata.

Pustite da Vaš stručnjak iskoristi snimku za najbolju moguću skrb – mi smo tu da vam pomognemo!

Zašto me moj zubar šalje da snimam 3d snimku?

Vaš zubar odnosno doktor dentalne medicine uputio Vas je na 3D CBCT snimku jer prvenstveno zna a i želi koristiti najsuvremeniju tehnologiju kako bi Vama, svome očito cijenjenom pacijentu osigurao najbolju moguću dijagnostiku i najbolju njegu za vaše zube, bez rizika. Za razliku od ortopantomograma (ortopana), koji prikazuje samo dvodimenzionalnu projekciju zuba i koristeći samo njega u nekim slučajevima je lako pogriješiti u procjeni, stoga je iznimno važno znati procijeniti kada nam treba 3D CBCT snimka koja omogućuje detaljan trodimenzionalni prikaz svakog presjeka zuba, čeljusti, sinusa ili temporomandibularnih zglobova. To omogućuje vašem doktoru dentalne medicine uvid u složena stanja, poput:

  • Planiranja ugradnje implantata.

  • Otkrivanja problema s korijenima zuba ili kostima čeljusti.

  • Jasnog prikaza korijenskih kanala, upalnih procesa oko korijena zuba i promjena u kosti oko zuba, posebno kada vas boli zub, a na običnoj snimci ništa nije vidljivo.

  • Procjene stanja sinusa ili čeljusnih zglobova (TMJ).

  • Planiranja ortodontskih tretmana ili kirurških zahvata.

3D CBCT snimka pomaže vašem doktoru dentalne medicine da donese najbolje odluke za vaš tretman, smanjujući rizike i osiguravajući brže, sigurnije i uspješnije rezultate za vaš osmijeh stoga ukoliko Vas je Vaš doktor dentalne medicine zatražio 3d snimku možete biti još mirniji i imati još više povjerenja da će napraviti najbolji mogući posao kad je u pitanju Vaše dentalno zdravlje.  U Apex Dental Zadru snimke izrađujemo brzo, sigurno i s minimalnim zračenjem. Ako imate dodatnih pitanja ili vam treba kopija snimke, posjetite stranicu Kontakt ili saznajte više na Za profesionalce kako pomažemo doktorima dentalne medicine.